Casos clínicos
“Os dentes mudam o sorriso, o sorriso muda a cara. A cara muda a expressão e a expressão muda a vida” – sorria com confiança


All on Four
O All-on-four, consiste na colocação de 4 implantes em maxilares com dentes muito deteriorados ou ausência total dos mesmos. A “carga imediata”, é um protocolo que permite aos nossos pacientes ficarem com dentes fixos no mesmo dia da cirurgia obtendo, desta forma, um sorriso totalmente reabilitado em poucas horas com uma prótese provisória aparafusada.


All on Four
O All-on-four, consiste na colocação de 4 implantes em maxilares com dentes muito deteriorados ou ausência total dos mesmos. A “carga imediata”, é um protocolo que permite aos nossos pacientes ficarem com dentes fixos no mesmo dia da cirurgia obtendo, desta forma, um sorriso totalmente reabilitado em poucas horas com uma prótese provisória aparafusada.


Branqueamento interno
Um branqueamento interno é um tipo de branqueamento dentário apenas efetuado em dentes que foram previamente desvitalizados e que apresentam uma cor mais escura. É um tratamento de grande simplicidade que tem bons resultados estéticos quando o dente ainda não precisa de uma coroa ou faceta.


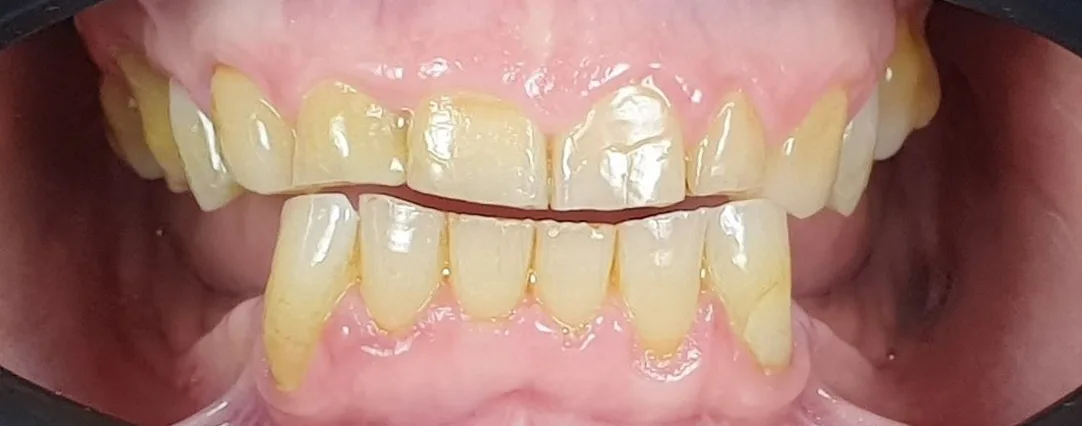
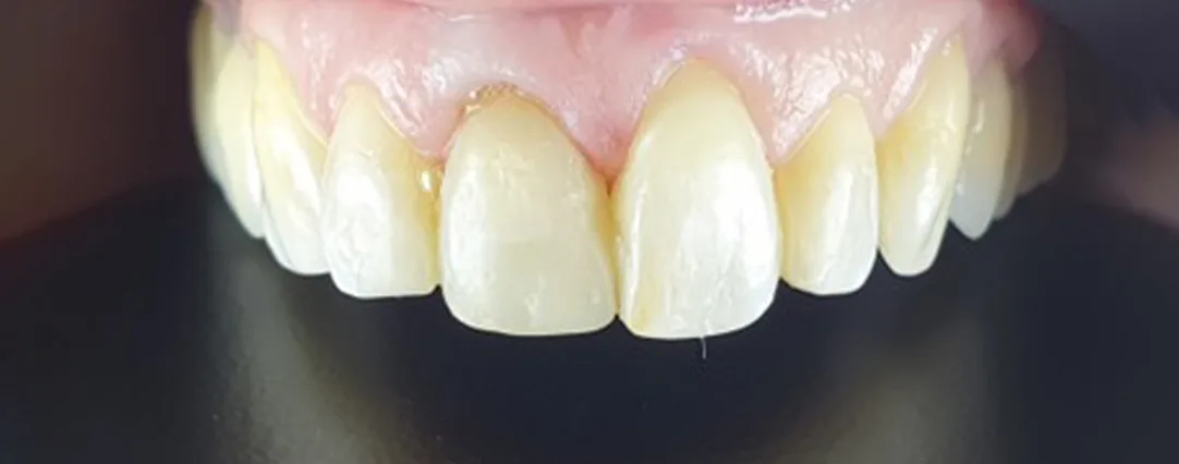
Branqueamento externo
Um branqueamento externo é um tipo de branqueamento dentário que consiste na aplicação de um produto à base de peróxido de hidrogénio ou de peróxido de carbamida, que penetra no dente, libertando moléculas que oxidam os pigmentos e provocam a sua descoloração.


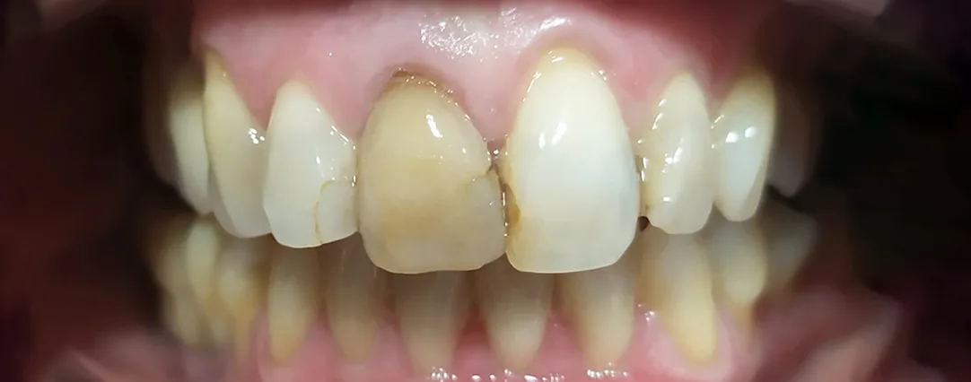
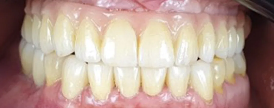
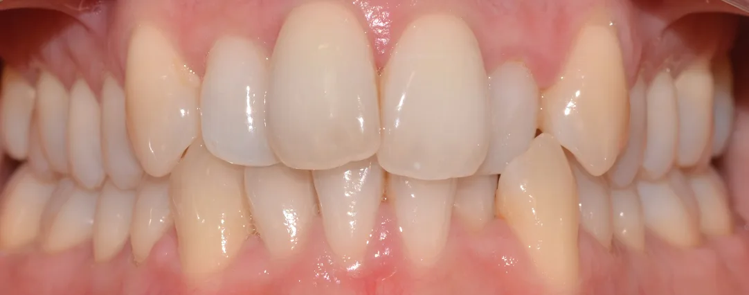
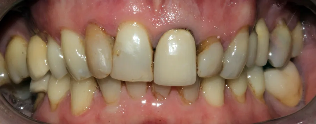
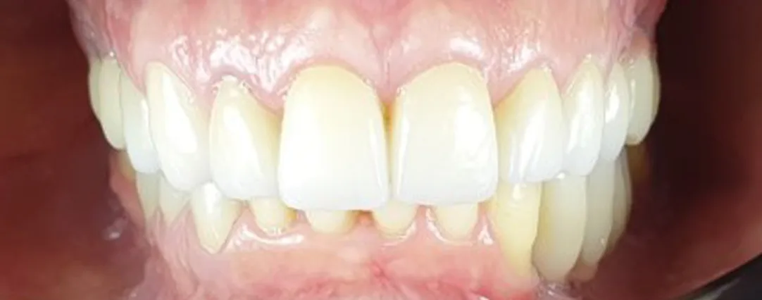
Coroas
As coroas dentárias são uma estrutura, geralmente em cerâmica, que reveste a totalidade do remanescente dentário. São uma ótima solução para os nossos pacientes quando estes apresentam dentes deteriorados por trauma ou cárie ou para pretendem corrigir problemas severos de cor, forma e posição dentária


Coroas sobre dentes e implantes
As coroas dentárias são uma estrutura, geralmente em cerâmica, que reveste a totalidade do remanescente dentário. São uma ótima solução para os nossos pacientes quando estes apresentam dentes deteriorados por trauma ou cárie ou para pretendem corrigir problemas severos de cor, forma e posição dentária.


Coroa sobre dentes e implantes
As coroas dentárias são uma estrutura, geralmente em cerâmica, que reveste a totalidade do remanescente dentário. São uma ótima solução para os nossos pacientes quando estes apresentam dentes deteriorados por trauma ou cárie ou para pretendem corrigir problemas severos de cor, forma e posição dentária.


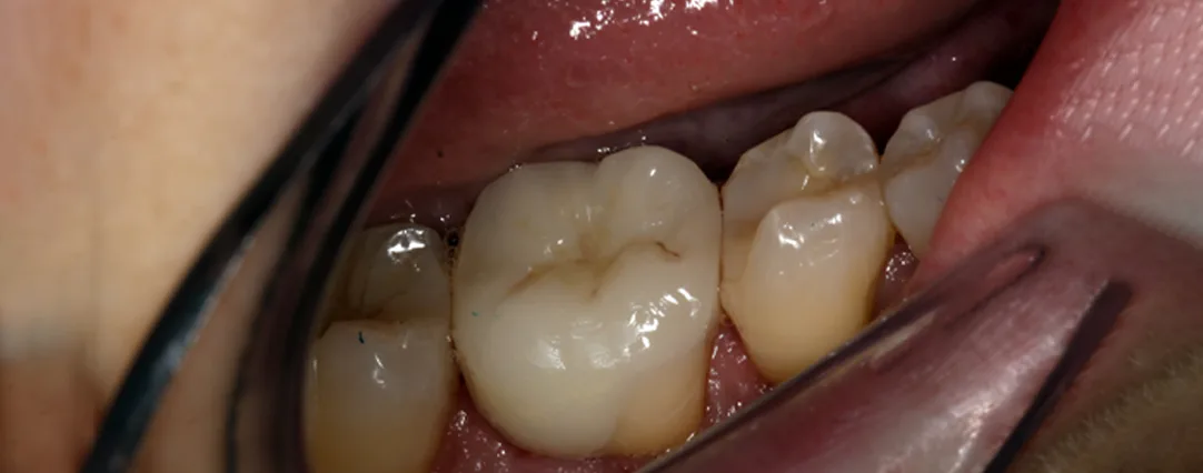
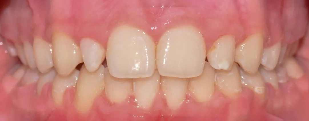
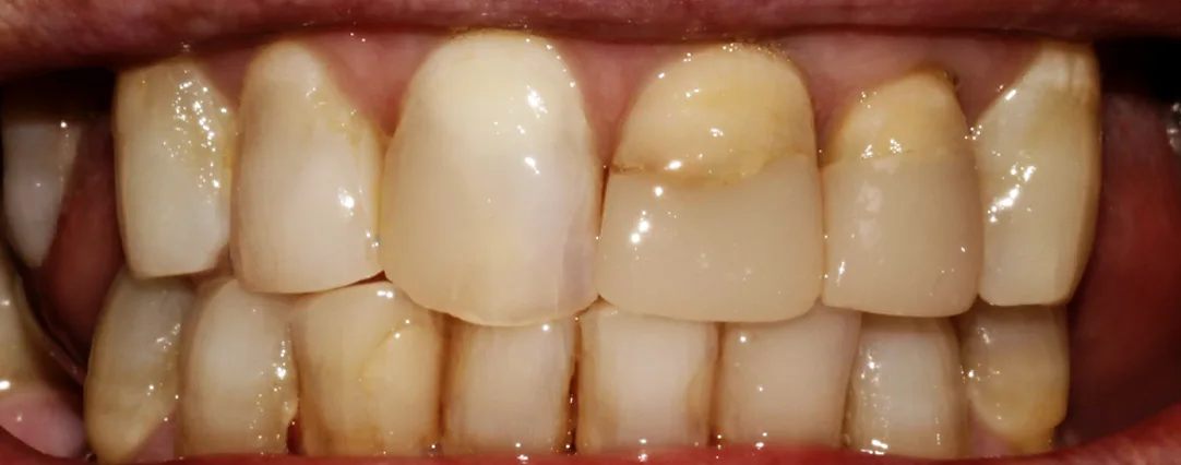
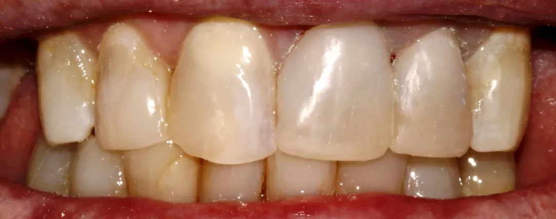
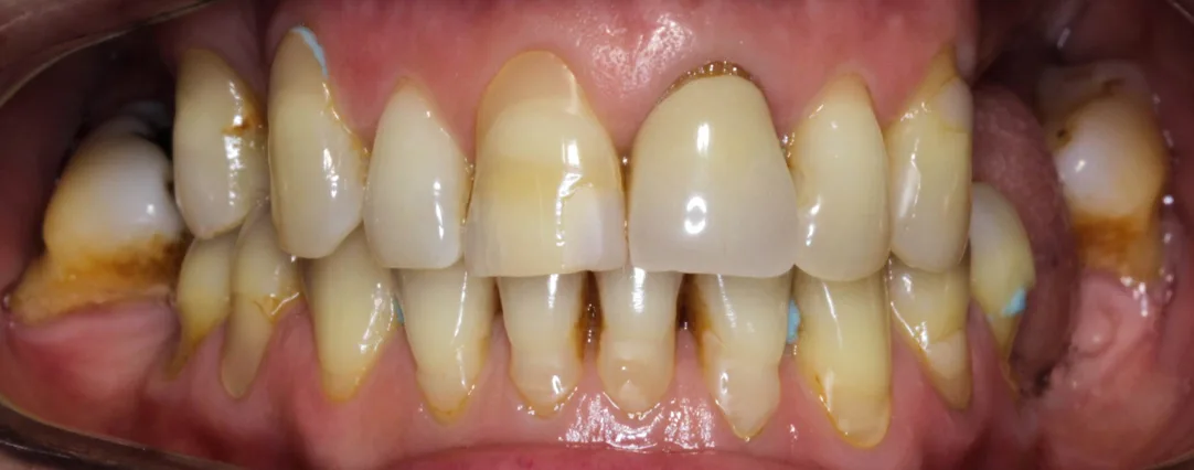
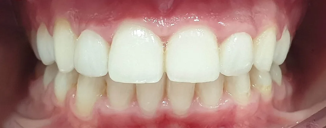
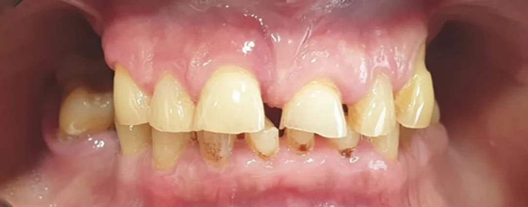
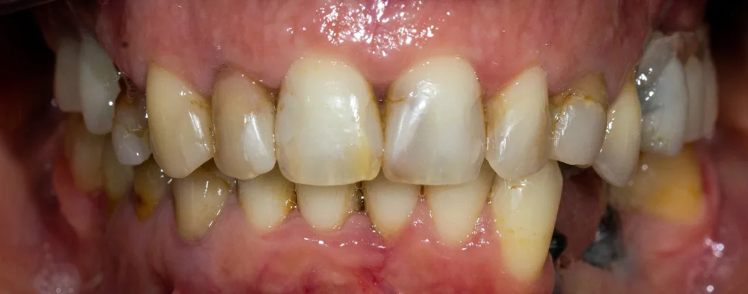
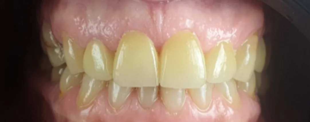
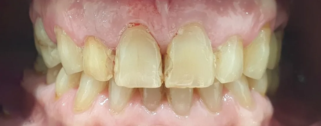
Dentisteria estética
Muitas vezes os nossos pacientes procuram soluções simples para solucionarem problemas de lesões de cárie, fraturas ou perda de estrutura dentária devido a desgaste da estrutura dentária por fatores mecânicos ou químicos. Para além de percebermos a causa e da tentarmos controlar, a utilização da dentisteria estética permite restituir de forma rápida e direta a aparência original dos dentes.


Dentisteria estética
Muitas vezes os nossos pacientes procuram soluções simples para solucionarem problemas de lesões de cárie, fraturas ou perda de estrutura dentária devido a desgaste da estrutura dentária por fatores mecânicos ou químicos. Para além de percebermos a causa e da tentarmos controlar, a utilização da dentisteria estética permite restituir de forma rápida e direta a aparência original dos dentes.


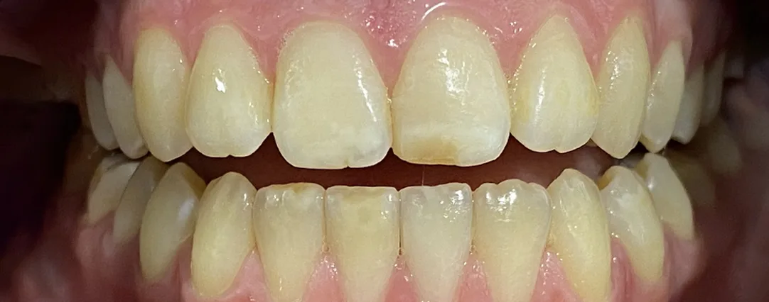
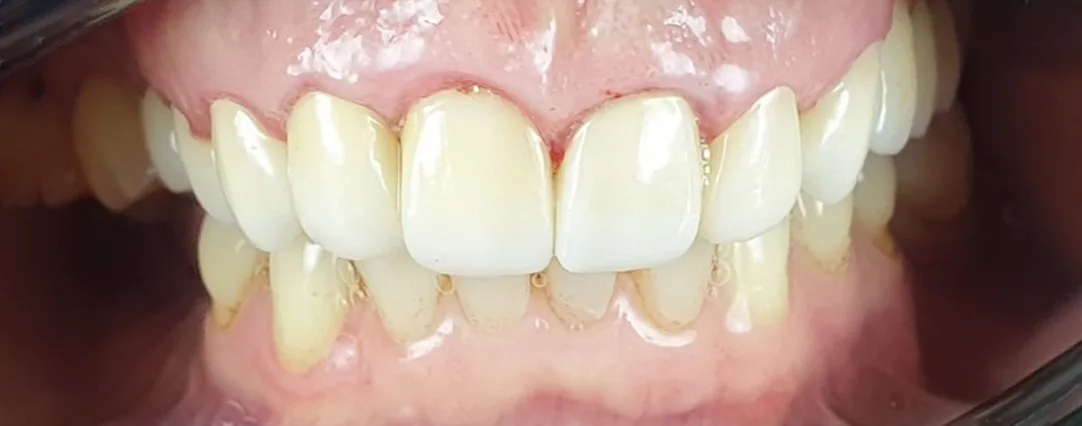
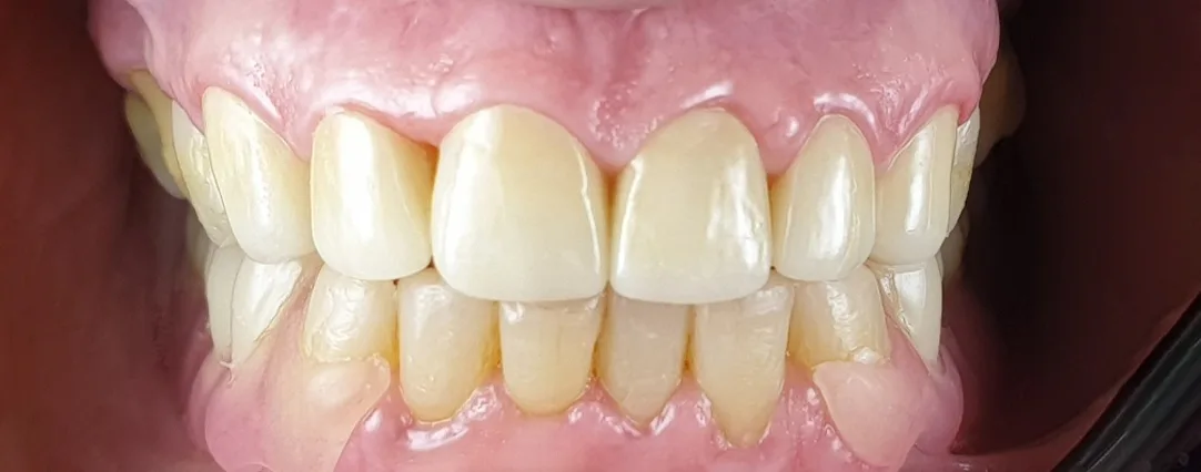
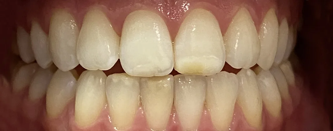
Facetas Dentárias
As facetas dentárias ou lentes de contato, são um tratamento estético dentário para corrigir defeitos nos dentes. São pequenas lâminas, geralmente de cerâmica que cobrem a parte externa do dente eliminando os problemas de cor, forma, volume e posição dentária. Ainda que sejam muito finas, as facetas são extremamente fortes e duráveis uma vez aderidas à superfície do dente.


Facetas Dentárias
As facetas dentárias ou lentes de contato, são um tratamento estético dentário para corrigir defeitos nos dentes. São pequenas lâminas, geralmente de cerâmica que cobrem a parte externa do dente eliminando os problemas de cor, forma, volume e posição dentária. Ainda que sejam muito finas, as facetas são extremamente fortes e duráveis uma vez aderidas à superfície do dente.


Facetas em microdentes
A microdontia é uma anomalia bastante frequente que resulta num tamanho menor dos dentes em relação ao que seria normal. Muitos pacientes procuram a nossa ajuda para a correção desta condição e as facetas são, maioritariamente, a solução ideal.
Icon
Este tratamento inovador é muito conservador para cáries iniciais ou defeitos de esmalte (manchas brancas, por exemplo), uma vez que consegue remineralizar as lesões incipientes do esmalte. É um procedimento muito confortável para o nosso paciente uma vez que não há necessidade de anestesia e não se trata de um tratamentos invasivos, tendo resultados imediatos no fim da consulta.


Implantes dentários
O implante dentário é uma peça de titânio que fica integrado no osso da maxila ou da mandíbula, substituindo a raiz do dente. A ele será acoplado uma coroa, ou em caso de múltiplos implantes, uma prótese ou ponte. Diariamente os nossos doentes procuram esta solução pela comodidade de uma solução fixa e pela harmonia que proporciona ao sorriso.


Overlay
O tratamento com Prótese Fixa é uma solução unitária, parcial ou total que visa repor os dentes perdidos. O overlay é uma reconstrução dentária efetuada de forma indireta, isto é, feita num laboratório dentário e posteriormente cimentada sobre o dente.


Overlay
O tratamento com Prótese Fixa é uma solução unitária, parcial ou total que visa repor os dentes perdidos. O overlay é uma reconstrução dentária efetuada de forma indireta, isto é, feita num laboratório dentário e posteriormente cimentada sobre o dente.


Ortodontia
A Ortodontia é a especialidade da medicina dentária que se dedica ao diagnóstico, prevenção e correção da má posição dos dentes e maxilares.
É um tratamento fixo ou removível. Sendo uma área em constante evolução, a Arcos Médica conta com uma equipa de profissionais que procura manter-se em constante atualização, oferecendo a todos os nossos pacientes, uma vasta gama de opções de tratamentos, com recurso às mais recentes e modernas tecnologias.


Sobredentaduras
As próteses removíveis são dispositivos que substituem os dentes perdidos, podendo ser removidas e recolocadas dentro da sua boca. Existem dois tipos principais de próteses removíveis relativamente ao nº de dentes envolvido – total ou parcial – e uma grande variedade de materiais para as mesmas. Existe também a possibilidade de estabilizar e reter a sua prótese removível em boca recorrendo à fixação com implantes – Prótese sobre attachments.


Alongamento coronário
Este procedimento pode ser realizado através de técnicas cirúrgicas e não cirúrgicas tendo como finalidade o aumento da exposição da quantidade de dente visível em situação de cáries ou fraturas profundas e extensas, coroas clínicas curtas ou falta de harmonia da arquitetura gengival. Atualmente a clínica dispõe de métodos altamente previsíveis que permitem planear e visualizar digitalmente o resultado final pretendido orientando, desta forma, o procedimento cirúrgico a executar.
FAQ’S
Em que consiste o branqueamento dentário?
Consiste na aplicação de um produto à base de peróxido de hidrogénio ou de peróxido de carbamida, que penetra no dente, libertando moléculas que oxidam os pigmentos e provocam a sua descoloração.
Quais as formas de branquear os dentes?
O branqueamento pode ser realizado em Casa (através da utilização do produto numas goteiras adaptadas às suas arcadas dentárias) ou em Consultório (de forma imediata, através de um aparelho para o devido efeito).
Em qualquer dos casos é fundamental para o seu sucesso, a realização de uma consulta prévia de Higiene oral.
O que é um implante?
Um implante dentário é um parafuso geralmente em titânio (também já existem implantes em zircónia), que é colocado cirurgicamente no osso maxilar de forma a substituir um dente perdido.
A fixação do implante ao maxilar dá-se através de um processo de íntima união entre ambas as estruturas chamado Osteointegração.
Técnica all-on-four o que é?
A técnica para reabilitação do desdentado total All-on-4, é um procedimento cirúrgico e protético que consiste na reabilitação da maxila e/ou da mandíbula edêntulas com próteses fixas através da colocação de quatro implantes, permitindo a colocação de uma prótese fixa provisória com 12 a 14 dentes imediatamente no dia da cirurgia. Após alguns meses procede-se à execução da prótese definitiva.
O que é a Disfunção temporomandibular (DTM) e quais os seus sintomas?
A DTM é definida por distúrbios ao funcionamento do complexo sistema de músculos mastigatórios, a ATM e estruturas ósseas associadas.
Pode afetar a própria articulação – isto é, a ATM (Articulação Temporomandibular) – a única articulação móvel da cabeça liga o maxilar inferior (mandíbula) ao crânio (através do osso temporal). Localiza-se à frente do ouvido. Esta articulação complexa é responsável por todos os movimentos da boca, como comer, falar, mastigar e bocejar) – ou então os músculos da face, cabeça e pescoço.
Os sintomas podem incluir:
– Dor ou desconforto na face ou na articulação (ATM);
– Limitação da abertura da boca;
– Ressalto, bloqueio ou desvio da mandíbula a abrir ou fechar a boca;
– Dores de cabeça (cefaleias ou enxaquecas);
– Ruídos na articulação;
– Cansaço na face, principalmente ao acordar ou no fim das refeições;
O que é a “desvitalização” ? Quantas consultas são necessárias para finalizar o tratamento?
O tratamento endodôntico é um procedimento complexo.
A taxa de sucesso em endodontia é alta mas não de 100% pois depende de múltiplos factores: estado de evolução da lesão, grau de destruição do dente, estado geral do doente, etc.
Ainda assim, a Endodontia é o tratamento de recurso antes da extração de um dente que se encontre com uma necrose da polpa ou pulpite irreversível.
A endodontia é aplicada quando existe algum tipo de lesão do nervo provocada por:
– Infeções derivadas de cáries severas que atingem a polpa do dente (“nervo”) de forma irreversível;
– Traumatismos severos;
– Desgaste dentário severo.
A consulta necessária para o procedimento depende do tipo de dente e da complexidade da situação. A maioria dos tratamentos são realizados de 1 até três consultas. Alguns casos mais complexos podem necessitar de mais tempo, sobretudo nos casos de retratamento.
Dentes com lesão prévia (infeções, abcessos) terão que ser tratados com medicação própria para que se elimine a infeção antes de realizar o procedimento.
A partir de que idade e com que regularidade a criança deve consultar um médico dentista?
A primeira visita de uma criança ao consultório dentário deverá ocorrer assim que toda a dentição decídua (dentes de leite) está completa.
A regularidade das consultas (quando existe boa saúde oral) deve ser de 6 em 6 meses. Em situações de elevado risco de cárie, esta periodicidade deve ser reduzida para intervalos de três meses.
O que é um selante de fissuras e para que serve?
O selante de fissuras é uma resina fluída que se aplica na superfície fissurada dos dentes sãos com o objetivo de prevenir o aparecimento de lesões de cárie dentária. Está por norma indicada a aplicação de selante de fissuras nos primeiros e segundos molares e pré-molares definitivos. A reaplicação do selante está indicada quando se verifica a perda parcial ou total do selante, mantendo assim a sua eficácia.
O que fazer em caso de traumatismo dentário nas crianças?
Após um traumatismo dentário, quer ocorra na dentição de leite ou definitiva, é fundamental ser visto por um dentista, pois um tratamento precoce minimiza o risco de complicações posteriores.
O que é um protetor bucal e para que serve? Quais os desportos que estão indicados usar?
Um protetor bucal é um aparelho que se encaixa nos dentes para protegê-los de qualquer tipo de impacto devendo ser usado sempre que participe em atividades desportivas que envolvam a possibilidade de queda, contatos físicos bruscos ou choques com pares ou com objetos que se desloquem a elevadas velocidades.
Está indicado em desportos tais como futebol, basquetebol, basebol, rugby, voleibol, hóquei, skate, ciclismo, desportos de contato ou qualquer atividade que possa produzir ferimentos na área da boca.
Também pacientes que estejam a fazer ortodontia (aparelho) e que façam desporto, deverão usar um protetor bucal para impedir qualquer lesão dos tecidos moles.
